Giant swelling in bodybuilder's liver
Ten by seven by five centimetres. Those were the dimensions of the swelling that Brazilian surgeons removed form the*liver*of a pharmacological bodybuilder. The doctors, who work at the Regional Hospital of the Northern Zone, published an article about it in Arquivos Brasileiros de Cirurgia Digestiva.
The main character in the article is a 28-year-old bodybuilder, who'd been walking around with stomach pains for three years. When he finally went to the hospital and the doctors felt his abdomen, they immediately realised there was something badly wrong. In the area of the man's liver they could feel a swelling of six by eight centimetres.
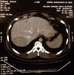
The doctors made a scan, which is shown below. The scan showed a suspicious patch measuring ten by eight by six centimetres in section VII of the liver, and it extended into sections VI and VIII.
*
The doctors decided that the swelling was an enormousadenoma. Adenomas in the liver are usually benign, but they can become so large that they cause bleeding, block blood vessels or disturb the functioning of organs. The chance of an adenoma tearing is 15-33 percent studies have estimated. Five to ten percent of the people who manage to get to a hospital on time with an exploded liver die on the operating table. The doctors decided to remove the swelling.
During the operation they discovered another swelling, with a diameter of two centimetres and located in section IV. The doctors didn't dare remove this one as it was too close to crucial blood vessels. They decided therefore to remove the entire piece of the liver that the swelling was attached to.
The bodybuilder made a good recovery after the operation. Eight days afterwards he was allowed to go home. The doctors saw him again six months later and he was completely recovered. After the operation he didn't touch steroids again.
The most puzzling part of the article is the man's steroids use. "The patient reported that he had been taking anabolic-androgenic steroids for the last six years (oral*androstenedione*and intramuscular*nandrolone)".
Oh yes. That's what gives you ten-centimetre swellings in the liver. Tall story.
Source:*
ABCD Arq Bras Cir. 2012;25(3):180-182.


Ten by seven by five centimetres. Those were the dimensions of the swelling that Brazilian surgeons removed form the*liver*of a pharmacological bodybuilder. The doctors, who work at the Regional Hospital of the Northern Zone, published an article about it in Arquivos Brasileiros de Cirurgia Digestiva.
The main character in the article is a 28-year-old bodybuilder, who'd been walking around with stomach pains for three years. When he finally went to the hospital and the doctors felt his abdomen, they immediately realised there was something badly wrong. In the area of the man's liver they could feel a swelling of six by eight centimetres.
The doctors made a scan, which is shown below. The scan showed a suspicious patch measuring ten by eight by six centimetres in section VII of the liver, and it extended into sections VI and VIII.
*
The doctors decided that the swelling was an enormousadenoma. Adenomas in the liver are usually benign, but they can become so large that they cause bleeding, block blood vessels or disturb the functioning of organs. The chance of an adenoma tearing is 15-33 percent studies have estimated. Five to ten percent of the people who manage to get to a hospital on time with an exploded liver die on the operating table. The doctors decided to remove the swelling.
During the operation they discovered another swelling, with a diameter of two centimetres and located in section IV. The doctors didn't dare remove this one as it was too close to crucial blood vessels. They decided therefore to remove the entire piece of the liver that the swelling was attached to.
The bodybuilder made a good recovery after the operation. Eight days afterwards he was allowed to go home. The doctors saw him again six months later and he was completely recovered. After the operation he didn't touch steroids again.
The most puzzling part of the article is the man's steroids use. "The patient reported that he had been taking anabolic-androgenic steroids for the last six years (oral*androstenedione*and intramuscular*nandrolone)".
Oh yes. That's what gives you ten-centimetre swellings in the liver. Tall story.
Source:*
ABCD Arq Bras Cir. 2012;25(3):180-182.









